一副 AI 眼镜,让 500 万盲人有了重见光明的希望


1
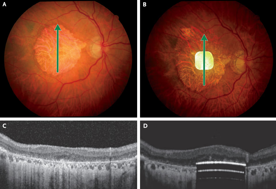
2mm 宽的芯片怎么让人重新看见






1
80% 能看见,但算不上「奇迹」





1
AI 眼镜能帮助盲人获得视觉,也让普通人受益


《AI Eyes: Enhancing Visual Accessibility Using AI
》
《AI Eyes: Enhancing Visual Accessibility Using AI
》

[1] Holz, F.G., et al. (2025). Subretinal Photovoltaic Implant to Restore Vision in Geographic Atrophy Due to AMD. N Engl J Med. DOI: 10.1056/NEJMoa2501396
[2] Nature. (2025). People with blindness can read again after retinal implant. Nature News.